一般来讲,孩子6岁左右乳恒牙开始替换,20颗乳牙会按照顺序松动、脱落,12岁左右乳牙全部脱落,恒牙全部萌出,这个过程就是“换牙期”,它关系到孩子的颜值与健康!拥有整齐健康的牙齿or东倒西歪的牙齿,可能就在于这个时期有没有正确护理。
在孩子的换牙期,父母可能会遇到以下“异象”:
一、新萌出的门牙像锯齿一样凹凸不平?

不必担心,这属于正常现象。通过咀嚼食物,一段时间后,凹凸不平的部分会被磨平。
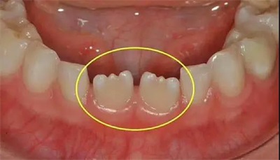
二、上排门牙长出后像“八”字向两旁分开,需要矫正吗?

这种情况只是过渡期,通常当两旁尖牙都长出后,门牙就会变得较垂直,缝隙也会收窄,这种“异常”就会消失。
三、出现“双排牙”,需要将乳牙拔除吗?

不要着急拔除。一般而言,乳牙是会自然脱落的。如果恒牙已经长出来很久,两三个月了,乳牙尚未脱落也完全没有松动,这种现象被解释为“乳牙滞留”或“乳牙迟脱”。“钉子户”般的乳牙应脱落而不脱落,令恒牙没有生长空间,很容易导致牙齿替换后的排列不齐、龅牙等问题。这时候应该带孩子去看牙医,一般建议拔除乳牙。
四、孩子换牙期牙齿歪歪扭扭,是否要考虑去矫正了?

不少人会发现小朋友的恒牙体积看起来很大,颌骨发育排列变得拥挤。这时候家长不要着急,要等所有乳牙替换成恒牙后,才能确定牙齿是否排列整齐和是否需要矫正。如有疑问,也可请教牙医。
五、比同龄孩子迟换牙,是否有问题?
孩子一般从6岁开始换牙,但每个人的换牙时间都是不一样的,相差一年左右属正常。
东莞口腔医院儿童口腔科医生提醒各位家长:想让孩子从“丑小鸭”蜕变成“白天鹅”,除了认识这些“异象”并懂得如何处理,做好孩子换牙期的日常护理也很关键。
●重视乳牙龋病,关注六龄齿
乳牙患龋,会影响恒牙发育甚至导致恒牙严重畸形。六龄齿是口腔内颗萌出的恒牙,也是我们一生中使用时间长的牙齿,家长在其长出来以后,就可以带孩子做窝沟封闭防龋坏。
●多吃富含纤维素、有一定硬度的食物
如牛肉、胡萝卜、芹菜、玉米等,咀嚼这些食物有利于促进乳牙牙根的自然吸收、脱落以及颌骨的发育。
●及时纠正孩子的不良习惯
当发现孩子有舔牙、咬唇、咬手指、吐舌等坏习惯,应该及时帮助他改正。如果是自己无法解决的问题,可到口腔医院咨询医生的意见,配戴矫治器协助纠正。
●保持口腔清洁
家长要督促好孩子刷牙,使用适量的含氟牙膏,早晚一次。
不要犹豫,不懂就问牙医


家长是孩子口腔健康的掌舵人,而儿童口腔医生就像航海中的护航手,侦探和预测潜在的风险;遇见紧急异常现象,及时解决;在偏航时,协助返回正途。
在孩子的牙齿发育过程中,家长总会遇见一些棘手的问题,比如说换牙期,想弄清楚哪些是正常的变化,哪些是需要及时治疗的异常,还得交由专业的牙医去判断才更为保险。