当种植牙问题遇上战“疫”……
当复诊时间遇上口腔种植科暂停门诊……
我们该怎么办?
现在正是抗“疫”之战的关键时刻,全国各地多个省市卫生部门已下发通知,要求各级民营口腔医疗机构暂缓、停止开诊,公立医院口腔科疫期内停止洗牙等常规诊疗。
而此时,想要种牙或者已经开启种牙程序的朋友们该怎么办呢?
新型冠状病毒流行期间,准备种牙或者已种牙根尚未修复好牙冠的你,可能会遇到以下问题。
1.新型冠状病毒流行期间可以种牙吗? 如果现在外伤导致牙齿断裂该怎么办还能进行即刻种植吗?
不建议在疫期种牙。
由于在种植手术过程中会产生大量水雾飞沫气溶胶,且口腔医生在治疗过程中会近距离面对患者口鼻,这就意味着若有潜伏期患者在不知情的情况下就诊,医生对其进行口腔诊疗操作产生的病毒气溶胶传播,将极易使医务人员和就诊患者感染,易导致疫情蔓延。因此建议计划种牙的患者,待疫情解除后再预约种植;而因外伤导致牙脱落或断裂的,建议至口腔急诊进行伤口的对症处理,待疫情解除后行延期种植。
2.种植术后已经3-4个月了,预约好的二期手术可以延迟吗?
可延迟,不影响。种植术后3-4个月为种植体骨结合的稳定期,而时间的延迟意味着骨结合愈加稳定,因此可延迟至疫情解除后行二期手术。
3.种植手术或二期手术后,拆线可以延迟或不拆吗?
可以延迟或待其自行脱落。
注意保持口腔卫生,如果缝线扎破口腔黏膜,可以使用凡士林涂于缝线处,不要使用未经消毒的器械在家自行拆线。
4.已经取完模,本来预约好要给种植体戴永久牙冠的,现在不能出门、口腔科暂缓开诊怎么办?
不影响,可等待疫情好转后再进行。
一般来说,短期内牙齿的移动甚微,取模后延期戴牙是没有什么影响的。在此期间请注意口腔卫生的维护,避免牙龈发炎等情况。
5. 种植牙上面的金属螺丝帽(愈合基台)掉了怎么办?
清洁并妥善保管好金属螺丝帽,避免误吞,避免使用该侧咀嚼,保持口腔卫生,尤其注意种植区域的清洁,切勿自行拧入金属螺丝帽,留意医院通知,待疫情解除医院全面开诊后预约种植科复诊。
6. 临时隐形义齿损坏或丢失了怎么办?
请暂缓佩戴损坏的义齿,待疫情解除后至口腔种植科复诊处理。
种植牙已经完成修复戴牙的患者,牙齿遇到这些问题又该怎么办呢?
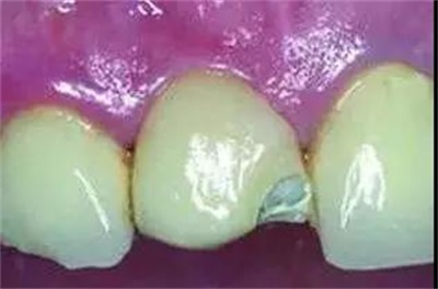
1种植牙上补的材料掉了,有个黑色的小洞洞,怎么办?
那个黑色小洞是种植牙螺丝开孔的位置,医生会用牙科材料封闭开孔,材料发生脱落不会对种植牙产生较大的影响,只需要保持口腔卫生,等后期复诊的时候重新充填。

2种植牙松动怎么办?
暂时避免用松动侧咀嚼,避免种植牙脱落误吞,留意医院通知,待疫情解除医院全面开诊后预约种植科复诊。

3种植牙崩瓷了怎么办?
发现种植牙崩瓷后,不用舌头去舔,避免刮伤;若出现食物嵌塞,及时用牙线清理,保持好口腔卫生,待疫情解除后至口腔种植科复诊处理。

4种植牙周围牙龈红肿怎么办?
该情况可能是由种植牙与牙龈之间有细菌、牙结石刺激引起的,应注意口腔卫生的清洁,用牙线清理牙间隙,可含漱漱口水来缓解,若情况较重,可先自服消炎药消炎,待疫情解除后至口腔种植科复诊。

5种植牙的饮食有什么注意事项,哪些东西不能吃?
种植牙修复完成后可像天然牙一样使用,但需注意勿用该牙咬太硬的食物,例如啃骨头、咬坚果壳等。

种植牙并非一劳永逸,和天然牙一样,也需要全面系统的维护,那么,种植牙该如何维护呢?
种植体植入及修复完成并不意味着患者完成了所有的诊疗过程,种植义齿的维护与随访往往是决定种植义齿长期成功率的关键因素。
种植义齿的维护不仅需要医务人员的诊室内维护,更需要患者日常生活中的积极配合。
①良好的口腔卫生习惯:使用含氟牙膏用正确的方法早晚刷牙,每次2~3分钟;饭后漱口或使用冲牙器;食物嵌塞应及时用牙线或牙间隙刷清理。
② 饮食上禁止咀嚼硬物,如坚果壳、啤酒瓶盖等。
③ 戒烟:吸烟可造成种植体周围不同程度的骨组织丧失,从而导致种植体的长期疗效不佳。建议患者戒除吸烟的习惯。
特别提示
如果您的种植牙出现问题,如愈合帽脱落、牙冠松动、牙冠脱落、种植体周围牙龈肿胀出血等,都请尽快告知您的主诊医生,或拨打电话0769-22220333/400-0769-333进行咨询,或通过微信公众号“东莞口腔医院”的线上问诊免费咨询获得帮助。
疫情来袭、人间有爱,居家隔离的同时,不要忘了维护您的种植牙哦!让我们共赴时艰,一起迎接春暖花开的明天!