与乳牙外伤不同,恒牙外伤造成的牙齿折断比较常见。当然,牙根还没有完全形成的年轻恒牙发生外伤后,牙齿松动、移位、脱出也较常见。
然而很多家长、孩子在发生磕掉牙齿时,不知道原来牙齿还是有复位的可能,白白错失了急救的佳时机,所以掌握牙外伤的急救法并能及时正确处理这种意外情况很重要。
牙外伤,时间怎么办?
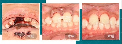
1完全脱位的牙齿
完全脱位的牙齿(即牙齿脱离牙槽窝),如牙齿已落地污染,正确的做法应该是用手捏住牙冠拾起,并就地用生理盐水或自来水温和地冲洗干净,立即把牙齿放回牙槽中,再送医院进一步治疗。若不能立即复位,应选择良好的保存液进行湿性保存,常见的保存液有新鲜的冷牛奶或生理盐水等。还可以将脱位牙含在患者口中,但儿童容易发生误吞的现象,要小心使用该方法。

牛奶的组成和渗透压适合脱落牙根面细胞的存活,而且在日常生活中比较容易获取。

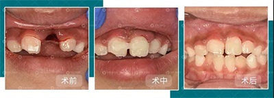
2牙冠折断
被折断牙冠还在的情况下,把磕掉的牙冠放在冷牛奶或生理盐水中带到医院,医生经过仔细检查发现其完整或较为完整,可以把磕掉的牙冠用复合树脂修复技术粘回到患牙上(断冠再粘接技术),修复患牙。如果没有把磕掉的冠折片放在冷牛奶或生理盐水中,而是用餐巾纸等包裹以干燥保存,会导致冠折片脱水变色,断冠再粘接后效果不理想。

如果被折断的牙冠找不回来的情况下,医生可以用树脂美学修复患牙,以恢复外伤牙冠的形态和美观。

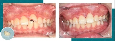
3牙齿松动、移位
牙齿松动、移位,如果牙齿受到碰撞或打击力量不太大,受伤的牙齿可能无症状或只感上下牙咬合不适应、牙齿酸痛,或有轻微的晃动。

牙齿没有折断发生松动移位也要就医,让医生检查有无咬合创伤,牙龈撕裂,牙根是否断裂等情况,其次,2周内不要用外伤牙齿咀嚼食物。
总之,出现了牙外伤,家长一定要及时做出正确处理,其基本的原则:珍惜黄金30分钟,不要随意扔掉断齿,注意保存方式!其次带着孩子及时就医。无论何种牙齿外伤均应定期复查,根据具体情况及时给予治疗,以期获得更佳的治疗效果!