从不洗牙的人的牙齿掉得快?这是为什么呢?
牙结石是怎样一步一步蔓延的
从牙齿的外观上看,分为牙冠、牙颈、牙根三部分。牙冠是牙体外层被牙釉质覆盖的部分,也是发挥咀嚼功能的主要部分,在正常情况下,牙冠的大部分显露于口腔,是我们能看得到的;牙根是牙体外层由牙骨质覆盖的部分,也是牙齿的支持部分,正常情况下,牙根整个包埋于牙槽骨中,这是我们看不到的。牙冠与牙根交界处呈一弧形曲线,称为牙颈。

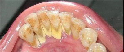
如果刷牙不彻底,又从不洗牙,牙冠上很容易长牙结石,牙结石就越积越多,向牙颈部位继续发展,这通常被称为“龈下结石”。
随着时间推移,从牙冠逐渐向下蔓延,牙结石每进步一些,牙槽骨就萎缩一些,牙齿就松一些,久而久之,牙齿就逐渐松动,牙结石就会慢慢蔓延到牙根部位。

对口腔而言,结石是一种异物,它的存在本身就会不断刺激牙周组织并压迫牙龈,影响口腔局部血液循环,造成牙周组织病菌感染,引起牙龈发炎萎缩,形成牙周袋。

当牙周袋形成后,食物残渣、牙菌斑和结石等更易堆积,进一步的破坏更深的牙周膜,如此不断的恶性循环的结果,终至牙周支持组织全部破坏殆尽,牙龈出血、牙周疾病等随之而来。总而言之,如不能及时清除,被牙结石缠上的牙齿最终逃脱不了溃烂脱落的命运。
定期洗牙 有效清除牙结石
作为口腔健康的一级杀手,牙结石的存在不容忽视。值得注意的是,在牙结石形成之初由于硬度较小,使用口腔清洁或刷牙等方法往往较容易清除,而随着日积月累的钙化、牙结石在口腔中紧密附着,普通的刷牙或口腔清洁方法便难以将其去除了。这时候就需要洗牙上场,洗牙是不会对牙齿造成磨损和伤害,如果想要维持口腔牙齿健康状态,需要养成定期洗牙的习惯哦。