
世界上遥远的距离不是天涯和海角,而是你的牙缝!
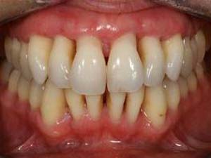
医生,你看看我的牙齿,我听说门牙有缝容易漏财。虽然我知道没有直接的科学根据,但是因为这个问题经常讲话漏风、发音不标准,甚至一不小心喷对方一脸口水,场面一度十分尴尬。
为啥牙齿会变长,牙缝会变大呢?
这种情况实际上是牙龈萎缩~
牙龈萎缩,指的是牙根部位的牙龈退缩,牙根被暴露出来。是一种因牙周疾病所引起的常见病,在牙颈部有牙结石刺激牙龈造成牙龈萎缩。牙周炎导致牙槽骨吸收牙齿松动脱落等。
牙龈萎缩的表现
01
炎症性牙龈萎缩
主要是因为牙周炎导致牙周组织遭到牙龈萎缩破坏,牙槽骨吸收以后,附着在牙槽骨上的牙龈也就随着向牙根方向萎缩,只发生于有牙周炎的患者。

02
机械性牙龈萎缩
主要是由于牙刷不符合标准,刷牙方法不正确(如横刷法),不良修复体等机械摩擦或压迫牙龈,造成牙龈和牙槽骨退缩。多发生于一组牙或个别牙。

03
废用性牙龈萎缩
主要由于牙齿没有了咀嚼功能,牙周组织缺乏必要的功能刺激,长期处于废用状态,可使牙龈,牙槽骨吸收。此种牙龈萎缩就如同一个人长期卧床,不进行行走活动,肌肉就会发生萎缩,这是相同的道理。

04
老年性牙龈萎缩
由于年龄增长发生的。是一种生理现象,是人类随着年龄增长,各个器官功能减退在口腔系统的表现。此种萎缩是大部分或全口牙齿的牙龈和牙槽骨发生萎缩。

05
早老性牙龈萎缩
和老年性牙龈萎缩一样,但多发生于较年轻的青年人。

牙龈萎缩应如何治疗?
PS:牙龈萎缩是不会自行恢复的哦~
我们需要长期保持口腔清洁、减少对牙龈的机械刺激。
在出现初期症状时找专业的牙周专科诊治,也许可以改善某些程度的牙龈萎缩。
