一说起种植牙
小伙伴们可能都会想
没有钱就不要想这些事情了
所以,请珍惜你身边做了种植牙的亲人朋友
因为他们嘴里可能藏着一辆丰田
甚至一台宝马
很多人都可能会这样想:
等我有钱了
“就算有被烂掉的牙齿困扰
只要将全口的牙齿都换成种植牙
就可以一劳永逸了”
这种想法其实是错误的哦
因为有一个重要的原因
医生也无法帮你避免呢
科学研究表明
有牙周病的患者种牙后出现种植体周围病的风险更高
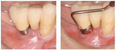
种植牙种下去之后也会生病吗?

就像天然牙会有牙周炎一样,种植牙也会发炎、生病。种植体周围病包括种植体周围黏膜炎和种植体周围炎。
种植周围病的原因有哪些呢?

原因包括种植牙位置方向、修复设计、咬合等等。但跟自身关系密切的一个原因是口腔致病菌的影响。
种植体周围黏膜炎 :局限于种植体周围软组织 ,主要表现为种植体周围牙龈的红肿、出血,是一种可逆性炎症病变,可逆并非指其具有自愈性,而是指通过积极口腔治疗后,种植体周围黏膜炎造成的病损可以被逆转。

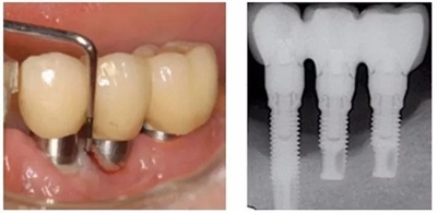
种植体周围炎:病变造成骨结合丧失,破坏了种植体周围牙槽骨,主要表现除了种植体周围牙龈的红肿、出血,还有探诊深袋、骨吸收甚至溢脓、松动等表现。
前者可逆,后者不可逆,后者是前者进一步发展的过程。同样因为炎症导致骨吸收,不断的骨吸收,终可能导致种植牙脱落。
种植牙的日常维护

1、种植牙修复完成后,让植入的种植牙有一个渐进的负重过程,三个月后正常进食。注意勿进食过硬食物,以免种植牙负荷过大而影响种植牙的长期使用。

2、使用正确的刷牙方法,保持良好的口腔卫生,预防种植体周围炎症的发生。刷牙时重点将种植牙牙龈部分刷干净是维护种植牙健康持久的保证。

3、执行医嘱,定时复诊。一般1个月、3个月、6个月、12个月时复诊,以后每半年至一年复诊。